Blog
Chronic Heart Failure and disability
Chronic Heart Failure Chronic heart failure (CHF) is a potentially lethal condition where the heart cannot pump a sufficient amount of blood, which can then cause blood to accumulate in the vessels leading to the heart and can cause congestion or accumulation of fluid...
read more
Can I receive SSI for my spinal stenosis and back pain?
Spinal Stenosis and SSDI benefits Spinal stenosis is the term for the narrowing of the spinal column that causes pressure on the spinal cord, or narrowing of the openings where spinal nerves leave the spinal column. If the narrowing progresses to the point that the...
read more
SSA disability medical listing for Crohn’s disease
Crohn’s Disease and disability Crohn’s disease affects about 600,000 men and women in the United States and Canada alone. Currently, there is no pharmaceutical or surgical cure for Crohn’s disease. Instead, all existing treatment is geared toward controlling symptoms,...
read more
Receiving disability for bi-polar disorder and anxiety
Getting disability due to mental limitations such as bipolar disorder. There are many possible symptoms of bipolar disorder that can affect a person’s ability to work. In a manic episode the individual may experience over confidence, racing thoughts, increased energy,...
read more
SSA policy is that drug dealing can be considered “substantial gainful activity”
SSR 94-1c - Substantial gainful activity rules The case that this SSA policy ruling is based involves a claimant that applied for disability benefits under the Supplemental Security Income (SSI) program, claiming that he was disabled due to asthma, multiple allergies,...
read more
Dayton, Ohio Social Security office among the slowest in the country
Dayton, Ohio Social Security office among the slowest in the country According to a recent article in the Dayton Daily News, Ohio Senator Sherrod Brown’s state director met with officials from the Social Security Administration to discuss an enormous backlog of...
read more
Receiving SSI or SSDI for Chronic Pain.
I Have Chronic Pain, Can I get Disability? If you suffer from chronic pain you understand just how variable the condition can be. For some the pain is continuous, for others it is intermittent, some suffer terribly while others live with less severe pain. Chronic pain...
read more
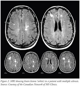
Can I receive disability benefits for my Multiple Sclerosis diagnosis?
What is Multiple Sclerosis and How Can I Prove my Disability? If you live with multiple sclerosis and are unable to work due to an MS-related disability, you might be entitled to disability benefits. MS is a disease in which the medical community knows little...
read more
Is it possible to receive disability (SSI) for my fibromyalgia condition?
The Trouble With Proving Fibromyalgia to the SSA Fibromyalgia syndrome is an often extremely painful condition that is notoriously difficult to diagnosis. According to the National Fibromyalgia Association, it is defined as a “collection of signs, symptoms, and...
read more
Will I lose my disability when I go to prison or jail?
How Will Prison Affect My Disability Benefits? When a person is facing incarceration there is surely a lot on their mind. If the person is receiving Social Security Disability benefits, one of the questions might be whether or not they can keep their disability...
read moreContact Us For A Free Consultation
If you or a loved one can no longer work due to a disability, contact the Law Offices of John T. Nicholson and schedule a free consultation to learn how an experienced Social Security Disability lawyer can help you get the benefits you deserve. Call us at 1-800-596-1533 or fill out the form online.

Free Case Evaluation
Free Case Evaluation
Law Offices of John T. Nicholson
Beavercreek
4461 Dayton Xenia Road
Dayton, OH 45432-1805
(937) 432-9775
Map & Directions
Cincinnati
2021 Auburn Ave., Suite 105
Cincinnati, OH 45219
(513) 276-4677
Map & Directions
Columbus
1041 Dublin Rd #103
Columbus, OH 43215
(614) 384-5800
Map & Directions
Franklin
8 Stadia Drive
Franklin, OH 45005
(937) 432-9775
Map & Directions
Kettering
5335 Far Hills Ave., Ste. 108
Kettering, OH 45429
(937) 524-5922
Map & Directions
Piqua
430 N Wayne St
Piqua, OH 45356
(937) 325-8500
Map & Directions
Trotwood
2541 Shiloh Springs Road
Dayton, OH 45426
(937) 524-5922
Map & Directions
Troy
22 N Market St
Troy, OH 45373
(937) 524-5922
Map & Directions
West Chester
7103 Cincinnati Columbus Rd
Cincinnati, OH 45069
(513) 276-4677
Map & Directions
Beavercreek Office
4461 Dayton Xenia Road
Dayton, OH 45432-1805
(937) 432-9775
Map & Directions
Cincinnati Office
2021 Auburn Ave., Suite 105
Cincinnati, OH 45219
(513) 276-4677
Map & Directions
Columbus Office
1041 Dublin Rd #103
Columbus, OH 43215
(614) 384-5800
Map & Directions
Franklin Office
8 Stadia Drive
Franklin, OH 45005
(937) 432-9775
Map & Directions
Kettering Office
5335 Far Hills Ave., Ste. 108
Kettering, OH 45429
(937) 524-5922
Map & Directions
Piqua Office
430 N Wayne St
Piqua, OH 45356
(937) 325-8500
Map & Directions
Trotwood Office
2541 Shiloh Springs Road
Dayton, OH 45426
(937) 524-5922
Map & Directions
Troy Office
22 N Market St
Troy, OH 45373
(937) 524-5922
Map & Directions
West Chester Office
7103 Cincinnati Columbus Rd
Cincinnati, OH 45069
(513) 276-4677
Map & Directions
Recent Comments